La especialidad de periodoncia no solo se ocupa de eliminar la infección que afecta a las encías y hueso que soporta a los dientes, si no que también de mejorar o revertir quirúrgicamente los problemas que afectan a estos tejidos. Por lo tanto, el periodoncista está capacitado para realizar una amplia gama de cirugías, entre las cuales se pueden mencionar:
Tratamiento quirúrgico de la periodontitis (Enfermedad de las encías): Tiene como objetivo corregir los efectos que deja esta enfermedad, exponer las raíces de los dientes para poder pulirlas de forma más eficiente y en ciertas ocasiones, regenerar el hueso que se ha perdido.

Cirugía Plástica Periodontal: Se realiza para cubrir retracciones de la encía o mejorar el grosor y funcionalidad de la encía frente a dientes e implantes.

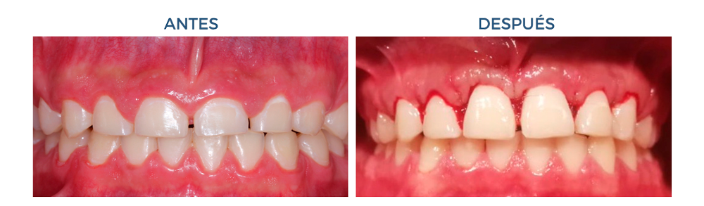
Alargamiento Coronario: Utilizado para exponer una caries o fractura que se extiende profundamente a los tejidos periodontales y así poder rehabilitar el diente.

Este procedimiento también se puede realizar en varios dientes de forma simultánea con fines estéticos y así alargar dientes cortos (Diseño de sonrisa).

Dr. Anwandter


